Woman given 15 months to live after wearing her dad's coat gave her cancer

Heather Von St James was diagnosed with pleural mesothelioma at the age of 36 after being exposed to asbestos as a child

Woman given 15 months to live after wearing her dad's coat gave her cancer

A woman who often wore her father's work jacket when she was a kid was diagnosed with pleural mesothelioma at the age of 36.

Heather Von St James, now 57, grew up in Minnesota and was unknowingly exposed to asbestos at a young age.

Her father, Roland, worked on construction sites, and his coat was often covered in asbestos dust.

At the time, Heather had no idea that the grey-white dust on the jacket was dangerous.

Years later, she was 36 and pregnant when she started to feel unwell with extreme tiredness and frequent fevers.

Heather said it was like 'a truck was parked on my chest'.

After giving birth by Caesarean section, the hairdresser went to see a doctor who put her through a CT scan, revealing a tumour near her lung.

Heather Von St James was diagnosed with pleural mesothelioma at the age of 36 after wearing her dad's work jacket as a child (Cover Images)

Within two weeks, doctors diagnosed her with pleural mesothelioma, a rare and aggressive cancer linked to asbestos exposure. She was given around 15 months to live.

Mesothelioma is 'a rare type of cancer that can develop in the lining of the body's organs. It's usually caused by exposure to asbestos', according to the NHS.

"It was disbelief," Heather said. "I just thought 'How could this be happening? There was no question that I was going to die. It was like, what do I do to beat this?

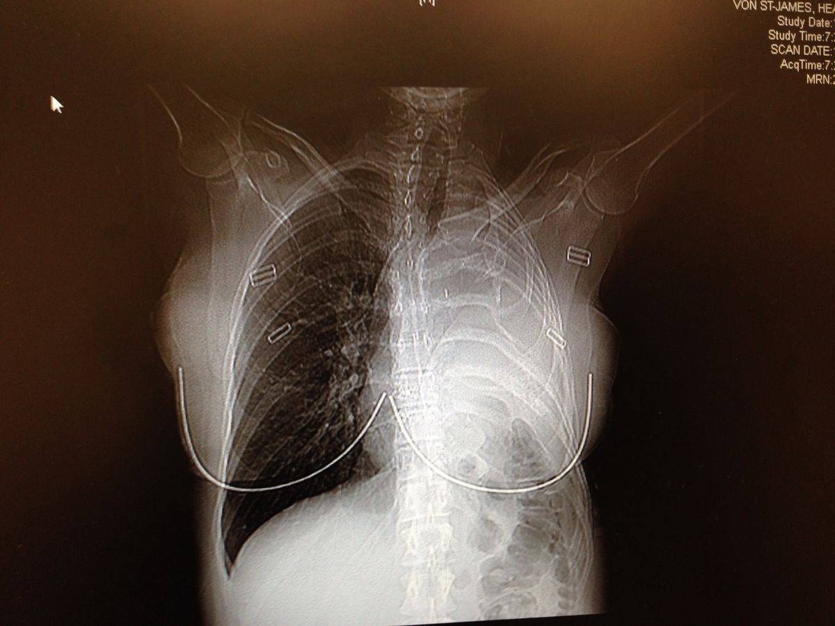
Heather had to undergo a risky surgery to have the tumour removed (Cover Images)

"My mind was spinning and I couldn't breathe. I started to have a panic attack in that room while they were explaining what mesothelioma was. I began crying and had to leave the room."

She underwent a complex operation in 2006 that involved removing her left lung, a rib, the pleura (the lining around the lung), part of her diaphragm, and the lining of her heart.

After surgery, four rounds of chemotherapy and 30 sessions of radiotherapy, Heather is now cancer free.

Her father died in 2014 from kidney cancer, which doctors believe may have been linked to asbestos exposure.

Heather now works to raise awareness of mesothelioma (Cover Images)

Although she survived, living with one lung still causes daily challenges, as she becomes breathless easily, cannot run, and struggles with heavy lifting.

"Some days people say once you survive cancer everything should be great," she said. "But there are a lot of ongoing physical things that happen after surgeries.

"I get winded easily and I get fatigued easily. I have a frozen shoulder and cannot properly open my left hand.

"Doctors rarely see patients live this long after mesothelioma. They say in my case, to be here 20 years is rare.

"Twenty years later and I'm still alive. Giving people that hope that it can be done, that medicine can get us there. That brings so much hope to so many."

What's Your Reaction?

like

dislike

love

funny

angry

sad

wow