Surgeons Applauded for Removing Large Ovarian Tumor From 69-Year-Old Woman Stomach

A team of surgeons has been widely praised after successfully removing a massive ovarian tumor from a 69-year-old woman during a complex medical operation. Reports revealed that the woman was unaware that a tumor had been growing inside her body until it began pressing against her colon, leading to severe bowel obstruction and prompting medical […]

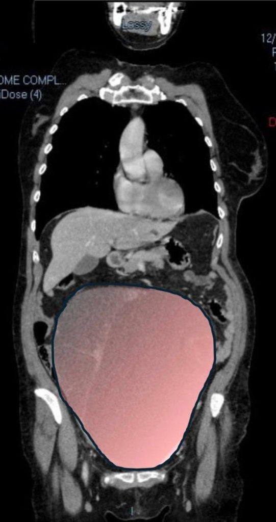
Surgeons Applauded for Removing Large Ovarian Tumor From 69-Year-Old Woman Stomach

A team of surgeons has been widely praised after successfully removing a massive ovarian tumor from a 69-year-old woman during a complex medical operation.

Reports revealed that the woman was unaware that a tumor had been growing inside her body until it began pressing against her colon, leading to severe bowel obstruction and prompting medical attention.

According to NeedToKnow, the surgical procedure lasted for about six hours. During the operation, doctors successfully removed a 28-centimeter tumor that weighed approximately 6 kilograms.

Following the surgery, the woman was admitted to the Intensive Care Unit (ICU) for close monitoring and recovery. The operation reportedly took place on December 23, 2025.

The City of Health and Science of Turin, where the surgery was carried out, described the tumor as being “comparable in volume to a full-term twin pregnancy.”

In a statement, the hospital said: “The most dangerous symptoms were linked to intestinal distress, requiring immediate, coordinated intervention from multiple specialists.

“The operation literally saved the woman’s life.

“It was made possible by the combined efforts of oncological gynaecologists, surgeons, anaesthetists, gastroenterologists, pathologists, radiologists, nurses and healthcare staff.

“All able to coordinate quickly and turn days of waiting and fear into a story of hope.”

What's Your Reaction?

like

dislike

love

funny

angry

sad

wow