Newborn Baby Stuns Doctors After Parasitic Twin Is Found Growing Inside Her Stomach

Doctors in Egypt were left stunned after discovering that a newborn baby girl had a parasitic twin growing inside her stomach — a condition so rare that it’s seen only once in every half a million births. The baby, just 11 days old, was admitted to the hospital after her stomach began to swell unusually. […]

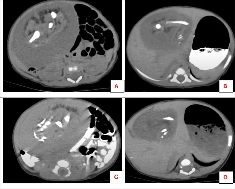
Newborn Baby Stuns Doctors After Parasitic Twin Is Found Growing Inside Her Stomach

Doctors in Egypt were left stunned after discovering that a newborn baby girl had a parasitic twin growing inside her stomach — a condition so rare that it’s seen only once in every half a million births.

The baby, just 11 days old, was admitted to the hospital after her stomach began to swell unusually. Concerned by her growing abdominal size, doctors conducted a 4D scan, which revealed an 8×6 cm mass with a “soft to firm consistency” and an “irregular surface” that did not move when she breathed.

Further investigation showed that the lump was connected to a large artery, leading doctors to identify it as a case of “fetus in fetu” — a rare medical anomaly where a malformed parasitic twin develops inside the body of its sibling.

A team of surgeons at the Mansoura University Paediatric Unit performed a laparotomy (surgical incision into the abdomen) and discovered the mass located near the baby’s liver.

Upon removal, doctors were astonished to find that the mass contained fat, malformed tissue, two limbs, an umbilical cord, and even partially developed skin and intestines — resembling a partially formed twin.

After the operation, the baby recovered well, showing normal feeding and digestion. She was discharged four days after surgery and has since been reported to be in good health.

What's Your Reaction?

like

dislike

love

funny

angry

sad

wow