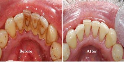
How to Remove Teeth Plaque At Home, Tips to Control Tartar

 Maintaining good oral health is importan or overall health and confidence, and plaque is a common problem. Plaque turns to tartar when left alone, it’s formed by accumulated bacteria in your mouth. You may notice it as a hard yellowish layer, also called calculus, on your teeth. Removing plaque usually requires a visit to your dentist, however you can remove it at yourself at home using natural remedies.1. Aloe VeraAloe vera is effective at dealing with gum disease caused by plaque and tartar. Being an antimicrobial, it kills the bacteria that cause plaque buildup. Plus, it fights bad breath.A 2014 study published in the Journal of Oral Health and Dental Management found that aloe vera demonstrates a similar effect on plaque and gingivitis compared with the benchmark control chlorhexidine mouthwash.Slit an aloe vera leaf and extract the pulp.Rub the pulp directly on your teeth and gum line.Leave it on for 10 minutes, then rinse it off with cold water.Use this remedy twice daily.2.Baki

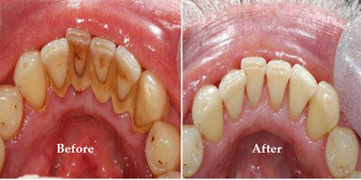
How to Remove Teeth Plaque At Home, Tips to Control Tartar
Why the Hen Does Not Have Teeth Story Book

WHY THE HEN DOES NOT HAVE TEETH STORY BOOK

It’s an amazing story, composed out of imagination and rich with lessons. You’ll learn how to be morally upright, avoid immoral things, and understand how words can make or destroy peace and harmony.

Click the image to get your copy!

Why the Hen Does Not Have Teeth Story Book

WHY THE HEN DOES NOT HAVE TEETH STORY BOOK

It’s an amazing story, composed out of imagination and rich with lessons. You’ll learn how to be morally upright, avoid immoral things, and understand how words can make or destroy peace and harmony.

Click the image to get your copy!

Why the Hen Does Not Have Teeth Story Book

WHY THE HEN DOES NOT HAVE TEETH STORY BOOK

It’s an amazing story, composed out of imagination and rich with lessons. You’ll learn how to be morally upright, avoid immoral things, and understand how words can make or destroy peace and harmony.

Click the image to get your copy!

 Maintaining good oral health is importan or overall health and confidence, and plaque is a common problem. Plaque turns to tartar when left alone, it’s formed by accumulated bacteria in your mouth. You may notice it as a hard yellowish layer, also called calculus, on your teeth. Removing plaque usually requires a visit to your dentist, however you can remove it at yourself at home using natural remedies.


1. Aloe Vera
Aloe vera is effective at dealing with gum disease caused by plaque and tartar. Being an antimicrobial, it kills the bacteria that cause plaque buildup. Plus, it fights bad breath.
A 2014 study published in the Journal of Oral Health and Dental Management found that aloe vera demonstrates a similar effect on plaque and gingivitis compared with the benchmark control chlorhexidine mouthwash.
Slit an aloe vera leaf and extract the pulp.
Rub the pulp directly on your teeth and gum line.
Leave it on for 10 minutes, then rinse it off with cold water.
Use this remedy twice daily.

2.Baking soda
This is the most well-known and often used tool for removing plaque. Simply pour a little baking soda into a small container, wet your toothbrush, put some baking soda on it and brush. You can mix a pinch of salt into the baking powder for more cleansing power. This removes tartar effectively for pennies.

You can even make your own mouthwash: You will need one-half cup baking soda, one cup water, 10 drops essential lemon oil, 4 teaspoons vegetable glycerin, and 1 teaspoon aloe vera gel. Mix all the ingredients and store in a bottle, use once or twice a day.

3.Cloves
Ground cloves have been widely used for ages as a home remedy to relieve toothaches. It can also be used to fight microbes in your mouth that may cause plaque and tartar.
A 2014 study published in the Journal of Indian Society of Periodontology notes that an herbal mouth rinse containing clove, tea tree oil and basil reduced the microbial colony forming units, making it an effective antiplaque and antigingivitis agent.

Mix 1 teaspoon of powdered cloves and a little olive oil. Apply this mixture on your teeth. Wait a few minutes, then rinse it off with lukewarm water. Do this twice a day.
Also, chew 1 or 2 cloves on a regular basis to support oral health and reduce bad breath caused by the bacteria in your mouth.

4.Fruits and vegetables
Strawberries and tomatoes have good quantities of vitamin C which is excellent for oral health. Rub these fruits directly onto your teeth and let sit for 5 minutes, this will soften any tartar build-up. Then rinse your mouth with baking soda mixed with warm water to remove plaque, leaving you clean pearly whites. You canalso use other vitamin C rich foods like bell peppers, berries, lemons, papaya, oranges, and lime the same way.

5.Rosemary Essential Oil
Rosemary essential oil works like a disinfectant to eradicate oral bacteria. It can prevent plaque buildup, cavities and help get rid of bad breath.

A 2012 study published in the Journal of Applied Microbiology suggests that the plant extracts from rosemary inhibited the growth of oral bacteria, glucosyltransferase activity, glucan production and plaque formation.

Mix 2 or 3 drops of rosemary essential oil in 1 tablespoon of water or carrier oil.
Swish the mixture through your teeth for about 10 minutes.
Spit it out and brush your teeth as usual. Do not swallow or gargle with it.
Repeat twice daily.
If you don’t have rosemary essential oil, you can use sage or thyme essential oil.

What's Your Reaction?

like

dislike

love

funny

angry

sad

wow